Medullary Thyroid Cancer
Cancer

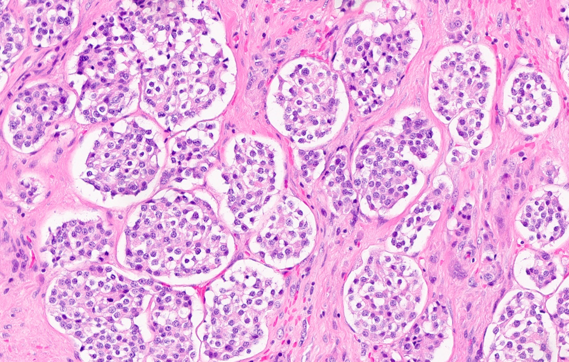
Medullary thyroid cancer (MTC) is a rare form of cancer that accounts for less than 2% of all thyroid cancers in the United States. MTC originates from the parafollicular C cells of the thyroid gland, which secrete the hormone calcitonin. The calcitonin hormone works together with the parathyroid hormone (a protein hormone secreted by parathyroid cells) to regulate calcium levels in the body.
Parafollicular C cells are different than follicular cells of the thyroid which are associated with differentiated thyroid cancer. The most important difference is that parafollicular C cells do not have the ability to absorb iodine, which can make treatment options more limited for children with recurrent or persistent MTC.