About
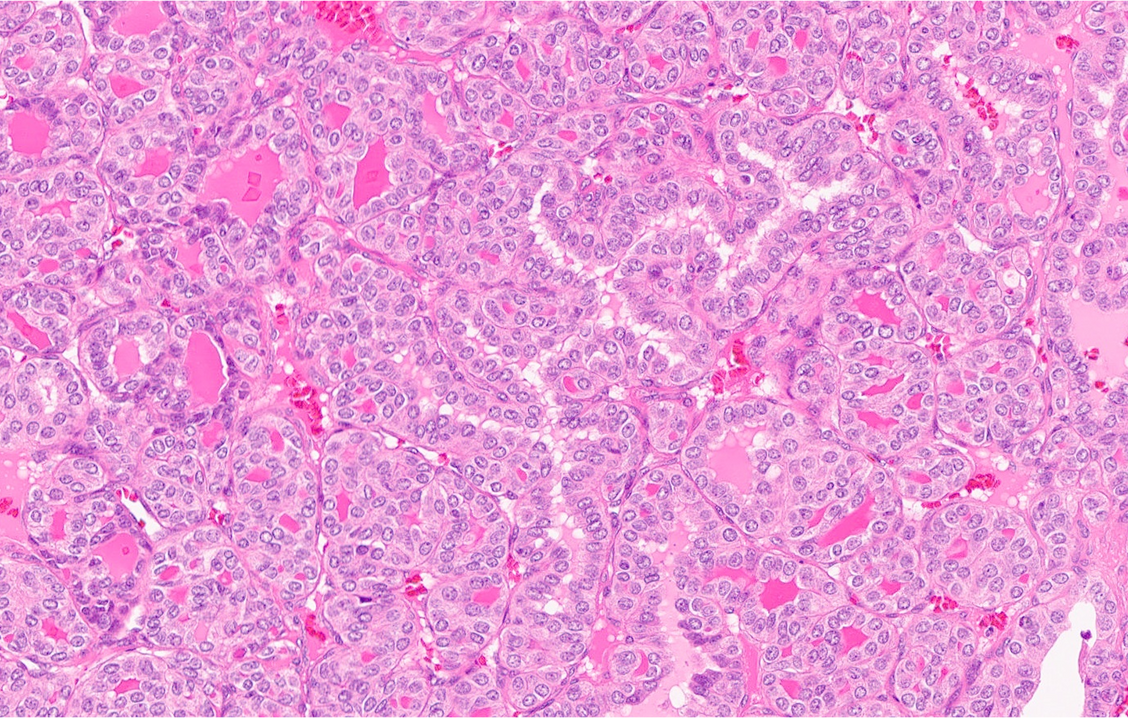
Differentiated thyroid cancer (DTC) includes papillary thyroid cancer (PTC) and follicular thyroid cancer (FTC). PTC is the most common form of thyroid cancer in both children and adults and represents about 85-90% of all DTC diagnoses. FTC accounts for only 5-10% of pediatric patients with DTC.
PTC in children and adolescents does not behave the same as it does in adult patients. Even when PTC has spread to the lymph nodes or lungs, pediatric patients with the disorder have much better outcomes compared to adults. About 40-60% of children diagnosed with DTC will have PTC that has spread to the lymph nodes; for about 15%, the PTC has spread to their lungs.
Unlike PTC, FTC is usually found as a solitary thyroid nodule. While FTC has less chance of spreading to the lymph nodes in the neck, there is a higher chance of the cancer spreading to distant sites in the body, such as the bones.
No matter how much the cancer has spread, pediatric patients with DTC have more than a 95% survival rate 20 to 30 years after treatment. When properly evaluated and treated, the vast majority of pediatric patients with DTC will go on to lead productive and rewarding lives.
